
拿到体检文书的那一刻,"占位性病变"五个字足以让东谈主手心冒汗,直到医师蜻蜓点水地说一句:“是囊肿,良性的,这一页翻曩昔吧”,紧绷的神经才会澈底讲理。施行上,许多腹部不适、隐晦作痛并非源于胃病或劳累,而是体内阿谁被界说为“水泡”的东西在偷偷异变。大多半东谈主以为囊肿仅是一包水,就像脸上长了个痘,不需要搅扰。关于步入中年的群体,这种淡薄带来的代价,大概是一次措手不足的急诊手术或不行逆的脏器挫伤。

一、所谓“良性”,并非长久不仅是一包水
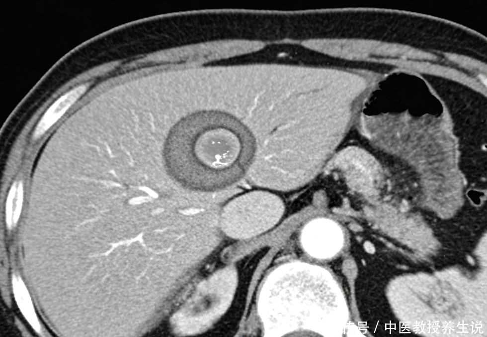
囊肿在好多东谈主的分解里等同于“无害”,但在临床影像学中,它的性质取决于直径、孕育速率以及里面结构。
小于5公分的单纯性囊肿,如实不错暂时和平共处。一朝直径冲突10公分,物理压迫将不行幸免。胃肠谈受压迫会导致餐后饱满、恶心吐逆,这种症状极易被误判为慢性胃炎。若压迫胆管,无痛性黄疸随之而来。
更为不吉的是囊内出血或感染。剧烈畅通、腹部碰到撞击,以致一次毫无征兆的剧烈咳嗽,王人可能导致囊壁离散。囊液流入腹腔,急性腹膜炎的剧痛会瞬息击穿哑忍极限。
并非通盘囊内王人是澄清的液体。当B超回声自满囊壁增厚、里面出现分隔或实性结节时,这就不是单纯的“水泡”,而是囊腺瘤以致囊腺癌的癌前病变信号。此时的“良性”判断,若莫得增强CT或核磁共振的二次阐发,无异于埋雷。

二、单纯性囊肿与多囊肝,两者迥乎不同
1、数目级与密度的内容互异
单纯性肝囊肿频繁是散逸的,一两个伶仃存在。多囊肝(PLD)则是一种先天性遗传结构尽头,肝脏实质内会长满万里长征无数个囊肿。
跟着年事增长,这些囊肿会像葡萄串相通抓续增加、增大,导致肝脏体积尽头膨胀,严重者肝脏以致能占据通盘这个词腹腔的大部分空间,外不雅如同“蜂窝”。
2、遗传密码的潜在开启
多囊肝呈现出显耀的眷属辘集性,多遵奉常染色体显性遗传规则。这种遗传特色使得眷属成员罹患该病的几率偏高,领路地展现出其在遗传领域的独有特征。若嫡系支属存在肝囊肿病史,而自己在体检时察觉有“多发囊肿”迹象,这并非有时偶合,很可能存在一定关系。
这种基因突变导致的病变,往往在中年后加快露出。女性患者在40-50岁区间,由于激素水平波动,囊肿增长速率可能由于雌激素的影响而彰着快于男性。

3、肝功能穷乏的终端风险
单纯性囊肿一丝影响肝功能。多囊肝则不同,诚然早期肝功能亦然平常的,但跟着囊肿无远弗届地挤占平常肝细胞的空间,肝实质寂静萎缩。
病程晚期,即使莫得肝炎病毒,患者也会出现腹水、门静脉高压等访佛肝硬化的严重并发症,最终可能走向肝移植的谈路。

三、肝肾同源,警惕“多囊肾”的连带打击
东谈主体脏器之间存在着精良的病理关系,肝脏的尽头往往是全身性疾病的一个窗口。
排查多囊肝的同期,必须同步检查肾脏。数据自满,约50% - 70%的多囊肝患者并发多囊肾。此比例明晰揭示出两种病症间存在着精良的内在关系,具有颇高的相干价值,值得深切酌量其背后的高明。此类基因残障性病症,其侵袭对象频繁并非局限于单一器官。它会涉及多个身体部位,给患者健康带来更为复杂严峻的挑战。
只阵势肝脏的囊肿而忽略肾脏,是体检复查中最大的盲区。多囊肾危害远甚于多囊肝。囊肿侵蚀肾实质,易诱发血尿与刚劲性高血压,更会致使肾功能减退,严重胁迫患者健康,切不行小觑。
好多患者在40岁之前莫得任何症状,一朝参加45岁的高危期,肾功能观念肌酐可能会骤然飙升。若待贫血、浮肿症状露出才就医,多半已错失保留肾功能的最好搅扰时机,此时距尿毒症不外目下之遥,健康防地岌岌可危。

岁月在身体上留住的萍踪,不仅仅皱纹和白首,还有脏器承受的每一次隐形冲击。东谈主到中年,不再追求虚无缥缈的完好健康,而是寻求一种与身体和平共处的均衡之谈。40岁也好,50岁也罢押大小的赌博软件,体检单上的尽头观念不是判决书,而是身体发出的求救信号。
下一篇:没有了